Die Patellaluxation beim Hund
Die Patellaluxation (Kniescheibenluxation) ist ein Problem des Junghundes. Sie äussert sich in einer sehr typischen Gangveränderung, bei welcher das entsprechende Hinterbein für einen oder mehrere Schritte komplett entlastet wird. Dazwischen läuft der Hund normal. Das Problem ist deutlich beeinflusst von der Vererbung, weswegen eine Patellaluxation für gewisse Hunderassen den Zuchtausschluss bedeuten kann.
Was ist die Patella?
Die Patella ist die Kniescheibe. Am Kniegelenk sind vier Knochen beteiligt: Der Oberschenkelknochen (Femur) und das Schienbein (Tibia) teilen sich die Hauptlast. Das Wadenbein ist beim Hund im Vergleich zum Menschen sehr dünn und kann praktisch vernachlässigt werden.
Die Patella (Kniescheibe) ist nach üblicher Herleitung eigentlich eine Verstärkung der Sehne, welche den Kniestrecker (grosser Oberschenkelmuskel) mit dem Unterschenkel verbindet. Die Patella schützt diese Sehne bei Beugung und Streckung des Kniegelenkes vor zu grosser Abnutzung. Solche Knochen wie die Kniescheibe werden Sesambeine genannt.
Wie funktioniert das Kniegelenk eines Hundes?
An der Kniegelenkfunktion des Hundes sind total 13 Bänder beteiligt. Die wichtigsten sind das gerade Kniescheibenband (von der Patella zum Schienbein), die beiden Seitenbänder und die beiden Kreuzbänder, welche den Oberschenkelknochen und das Schienbein in einem Kreuz verbinden und verhindern, dass sie sich gegenseitig nach vorne oder hinten verschieben.
Eine wichtige Pufferfunktion nimmt der Meniskus wahr. Er liegt quasi als Kissen zwischen dem Oberschenkelknochen und dem Schienbein und führt die Knochen bei der Bewegung. Schlussendlich sind alle Muskeln, die das Kniegelenk umgeben mitverantwortlich für eine einwandfreie Funktion. Insbesondere der grosse Kniestrecker (M. quadriceps) hat grossen Einfluss auf die gute Führung der Patella in der Rinne am unteren Oberschenkel.

Hunde-Kniegelenk von der Seite, Patella als Verstärkung der Sehne des Kniestreckers.

Normales Hunde-Knie, Patella wird von knorpeligen Seitenflügeln in Position gehalten.
Wie entsteht eine Patellaluxation beim Hund?
Klar ist: Bei einer Luxation gerät die Kniescheibe aus der Führungsrinne im unteren Teil des Oberschenkels und liegt ausserhalb (innen oder aussen) ihrer wichtigen Gelenksfunktion. Als Folge reisst die Gelenkkapsel ein und der Streckmechanismus des Gelenkes wird gestört. Die Hunde haben Schmerzen und verlieren an Lebensqualität.
Noch unklar, aber auf gutem Weg der Entdeckung ist, weshalb eine Luxation überhaupt auftritt.

Eine Studie aus dem Jahr 2021 zeigt, dass Hunde mit einem breiten Stand der Hinterbeine, wie zum Beispiel Bulldoggen, im Kniegelenk stärker rotieren als Hunde mit einem schmalen Stand.
Während in der Stehphase eines Hinterbeines der Unterschenkel quasi fixiert wird, dreht der Oberschenkel nach aussen.
Die Patella kann diese Bewegung nur teilweise mitmachen, weil sie durch das Band am Unterschenkel festgemacht ist und luxiert deswegen nach aussen.
Die Studie und der aktuelle Stand der Ergebnisse kann hier eingesehen werden. Sie wird noch weiterentwickelt, öffnet aber bereits neue Horizonte bezüglich der Entstehung und könnte der Zucht den Weg aufzeigen.
Welche Hunderassen leiden besonders oft an einer Patellaluxation?
Die Patellaluxation tritt vorwiegend bei kleinen Hunderassen im ersten Lebensjahr auf. Dazu gehören Malteser, Yorkshire Terrier, Pinscher, Bulldoggen, Bolonka, Pudel, Shih Tzu, Chihuahua, Boston Terrier und viele mehr. Der Trend zur Miniaturisierung fördert das Auftreten der Luxation. Eine Vererbung dieses Gesundheitsproblems wurde bei zwei Rassen mit 25% bis 30% nachgewiesen. Die meisten Luxationen gehen nach innen (medial). Eine Luxation nach aussen (lateral) trifft man nur selten an.
Grossen Rassen mit einer Tendenz zur medialen Luxation sind: Appenzeller Sennenhunde, Flat Coated Retriever und Neufundländer.
Wie erkenne ich eine Patellaluxation bei meinem Hund?
Das typische Symptom einer Patellaluxation ist der hüpfende Gang mit zeitweiser normaler Belastung aller Beine und zeitweiser völliger Entlastung des entsprechenden Hinterbeines. Man spricht von intermittierender Lahmheit. Dieser hüpfende Gang ist nicht immer schmerzhaft und wird teilweise als «spielerische Variante» beim Gehen angesehen. Doch Vorsicht: beim Anheben des Beines wird die Kniebiomechanik nachhaltig gestört und es drohen Folgeschäden!
Video: Gangbild eines Hundes mit einer Patellaluxation
Wann sollte ich mit meinem Hund zum Tierarzt?
Wird das Bein während eines Spazierganges mehrfach komplett entlastet, sollte man nicht lange warten und das Knie von einem Tierarzt untersuchen lassen. Eine unbehandelte Patellaluxation führt zwar nicht sofort zu Arthrose, aber der Knorpel wird beschädigt. Zudem kann durch die Fehlhaltung ein Kreuzbandriss entstehen.
Welche Diagnosen gibt es, wie kann der Tierarzt diese stellen?
Die Diagnose stellt der Tierarzt mit einem orthopädischen Untersuchungsgang. Das Untersuchungs-Ergebnis kann in der Regel den „Luxations-Graden 1 bis 4“ zugeordnet werden.
Ein Röntgenbild ist zur Diagnosestellung selbst nicht zwingend notwendig, kann aber bei unklaren Fällen helfen und wird zudem für die Operationsplanung benötigt.

Einteilung Luxations-Grade 1 bis 4 durch einen erfahrenen Tierarzt. Grafik: Jonas Lauströr
Bei vielen Hunderassen ist diese Untersuchung, bzw. der Befund „keine Luxation“ (respektive maximalem „Luxations-Grad 1“) eine Voraussetzung für die Zuchtzulassung. Hunde mit Luxations-Graden von 2 bis 4 hinken normalerweise stark und müssen in der Regel operativ behandelt werden.
Hunde mit einem Luxationsgrad 1 oder 2 können mittels Physiotherapie oft so behandelt werden, dass die Kniescheibe durch den gerichteten Muskelzug an ihrem Platz bleibt. Die Arthrosebildung ist in der Regel gering, allerdings wird bei jahrelang unbehandelter Patellaluxation der Knorpel zwischen Patella und Oberschenkel abgetragen, was auch nach einer Operation nicht wieder aufgebaut werden kann.
Patellaluxation - Grad 1
Grad 1 bedeutet, dass die Kniescheibe spontan zurück in die Normalposition geht, was kaum Lahmheiten verursacht.
Patellaluxation - Grad 2 - 3
Die Unterschiede zwischen Grad 2 und 3 sind fliessend und manchmal schwer zu unterscheiden. Bei beiden ist die Kniescheibe des Öfteren nicht in der Rinne, weswegen diese Hunde die Kraft nicht übertragen können und das Bein entlasten.
Patellaluxation - Grad 4
Bei Grad 4 kann die Kniescheibe nicht mehr aus der Luxationsstellung verschoben werden, was manchmal übersehen wird, weil die Hunde für ein paar Monate bis Jahre recht stabil gehen, bevor massive Arthrose einsetzt.
Welche Behandlungs-Methoden gibt es?
Die besten Therapien sind diejenigen, welche die richtige relative Position von Patella und Oberschenkel operativ wieder herstellen. Das bedeutet, dass der Ansatz des geraden Kniescheibenbandes mit einem Stück Unterschenkelknochen gelöst und entweder nach aussen oder nach innen versetzt wird, so dass die Patella wieder korrekt über der Rinne im Oberschenkel sitzt. Das abgesägte Stück des Unterschenkels wird mit einer sogenannten Zuggurtung (zwei Metallstifte, Draht) stabil befestigt.
Zudem wird die Führungsrinne der Patella am Oberschenkel, mittels einer Keil- oder Blocktechnik vertieft. Die Patella kann somit weniger einfach aus der Rinne springen. Mittels Weichteilzügelungen werden die Knochenschnitte gesichert.
Die Prognose ist sehr gut. Manchmal müssen wandernde Nägel später noch gezogen werden.

Operationssequenzen bei der Patellaluxation: Keilvertiefung am Oberschenkel; Versetzung und Fixation des Ansatzes des geraden Kniescheibenbandes. Grafik: Jonas Lauströr.
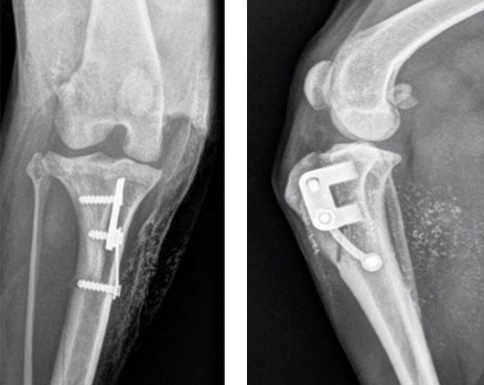
Seit 2021 kann man die Zuggurtung aus Metallstiften und einem Draht durch eine Einschlagplatte (Swiss Patella Plate, SPP® ersetzen. Diese hat den Vorteil, dass man kaum noch die Metallstifte entfernen muss. Die erste Serie dieser neuen Technik ist sehr vielversprechend, die Hunde belasten früh und sie könnte dereinst die bisherige Technik ablösen.

Operationstechnik mit SPP®
Methode der Halbprothese
Eine Alternative zur Standard-Operation resp. eine Notlösung bei stark beschädigtem Knorpel (z.B. wenn die Patella-Luxation zu spät erkannt oder behandelt wird) kann die Halbprothese „Patellar Groove“ sein. Dabei wird die Rinne am Oberschenkel abgesägt und mit einem zweiteiligen Titanimplantat dauerhaft ersetzt. Die Operation ist teuer und man muss sich ein Leben lang auf die Halbprothese verlassen. Die Prognose ist jedoch auch gut.

Abbildung links: Patellar Groove auf dem Modell (© Kyon AG, Zürich), Abbildung rechts: Röntgenbild Terrier mit Halbprothese Patellar Groove.
Mit welchem Alter wird eine Patellaluxation im Idealfall operiert?
Hunde können ca. ab dem sechsten Lebensmonat operiert werden. Bei hochgradigen Luxationen ist ein früherer Operationstermin möglich, wobei dann die Rinnenvertiefung mittels Knorpel-Anhebung und Knochenmark-Kürettage durchgeführt wird. Wenn bei einem Hund beide Knie betroffen sind, werden die Operationen getrennt und im Abstand von mindestens sechs Wochen durchgeführt.
Wie stehen die Prognosen bei Patellaluxations-Operationen?
Patellaluxations-Operationen sind im Allgemeinen mit einer guten Prognose zu verknüpfen. Die Arthrosebildung ist gering, sogar dann, wenn die Operation erst beim erwachsenen Hund durchgeführt wird. Komplikationen entstehen meist durch das Wandern der Metallstifte oder das Scheuern der Haut über deren Enden. Dann ist eine Entfernung angezeigt. Je kleiner die Hunde, desto eher wird eine Implantat-Entfernung zu empfehlen sein.

Röntgenbilder des Kniegelenkes eines Appenzellers nach Korrektur einer Patellaluxation 3. Grades.
Die Erholungsphase nach der Operation dauert vier bis sechs Wochen. Meistens wird für ein paar Tage ein Verband angelegt und es werden Schmerzmittel und Knorpelschutz-Präparate verabreicht. Physiotherapie ist sehr zu empfehlen. Nach Entfernen der Häfte wird zudem zu Schwimmtraining geraten.
Vier bis sechs Wochen nach der Operation wird ein Kontroll-Röntgen angefertigt, um den Sitz der Implantate zu prüfen sowie möglichen Komplikationen früh entgegenwirken zu können.
Mit der neuen Methode SPP® sind kaum mehr Implantat-Entfernungen vorgesehen.
Wie kann ich einer Patellaluxation bei meinem Hund vorbeugen?
Eine Vorbeugung ist praktisch nicht möglich. Es gibt keine bekannten Einflussgrössen, welche in der Welpenzeit eine Patellaluxation verhindern würden. Gezieltes Muskeltraining kann die Kniescheibe zwar stabilisieren, der Effekt ist aber nicht auf Dauer vorhanden.
Wie bereits erwähnt wird die Patellaluxation genetisch weitergegeben und besteht daher nur bei einer gewissen Reihe von Hunderassen. Als einzige effektive Massnahme gegen die Patellaluxation kann daher nur ein verantwortungsvolles Züchten mit Patellaluxations-freien Hunden genannt werden.
Dabei ist konsequent zu beachten, dass eine seriöse Auswertung und Registrierung durch eine/n lizenzierte/n Tierärztin/Tierarzt durchgeführt wird. Informieren Sie sich bei einem Hundekauf also unter anderem auch über allfällige Patellaluxations-Probleme der Elterntiere.
Häufige Missverständnisse
- Leider wird von Hundebesitzern das „lustige Hüpfen“ sehr oft falsch interpretiert. Doch es handelt sich dabei um ein gravierendes Knieproblem
- Übrigens: Bei Jack Russell Terriern kann es manchmal schwierig sein, die Patellaluxation korrekt zu diagnostizieren, weil eine Luxation schwerlich auslösbar ist
- Im Weiteren sollte jeder Tierarzt nicht nur die Luxation nach innen, sondern auch nach aussen prüfen
- Bei Shelties ist der Patellaluxations-typische Gang oft das Resultat einer springenden Sehne über dem Fersenbein und hat nichts mit dem Knie zu tun
Fazit
Die Kniescheibenluxation ist ein häufiges Problem bei kleinen Hunden. Würden die Zuchtbemühungen konsequent umgesetzt, würde man heute bereits weniger Patellaluxationen antreffen. Die Behandlung einer Patellaluxation ist meistens chirurgisch und hat eine gute Prognose, erst recht, wenn man sie frühzeitig erkennt und behandelt.
Weiterführende Links:
- Fachartikel: Der Hund im Wachstum
- Ratgeber: Ernährung & Bewegung für den heranwachsenden Hund
- Fachartikel: Der Kreuzbandriss beim Hund
Dieser Beitrag wurde geschrieben von Dr. med. vet. ECVS Daniel Koch, Daniel Koch Kleintierchirurgie AG. Aktualisiert im März 2021. Hundeherzlichen Dank!




















